安心・安全・正直な説明を大切にする医療ホワイトニング
「歯を白くしたい」と思っても、こんな不安はありませんか
- しみそうで不安
- 本当に白くなるの?
- 無理に勧められそう
そんな理由で迷っている方は少なくありません。当院のホワイトニングは、無理な勧誘はせず、安心・安全・正直な説明を大切にしています。
医療ホワイトニングとは
歯の表面の汚れを落とすだけでなく、歯科医院でのみ使用できる薬剤を用いて、歯の内部から明るくしていく方法です。
オフィスホワイトニング
(医院で行う)
診療室で行うホワイトニングです。
- 短時間で効果を実感しやすい
- 医療スタッフが管理するため安心
当院では、日本人の歯に合うよう開発された TION(GC社) を使用しています。低刺激で、知覚過敏が起こりにくいのが特徴です。 光照射は1回約6分と短く、体への負担を抑えています。
こんな方におすすめ: 「早く白くしたい」「イベント前」の方
ホームホワイトニング
(ご自宅で行う)
患者さん専用のマウストレーを作製し、ご自宅で行うホワイトニングです。
- 自然な白さになりやすい
- 白さが長持ちしやすい
生活スタイルに合わせて、使用時間や薬剤を相談しながら決めていきます。 1日60分トレーを装着するものや、薬剤がはじめからトレーにセットされているタイプなど、早くて便利なものもあり手軽にはじめられます。
こんな方におすすめ: 「自然な仕上がり」「ゆっくり進めたい」方
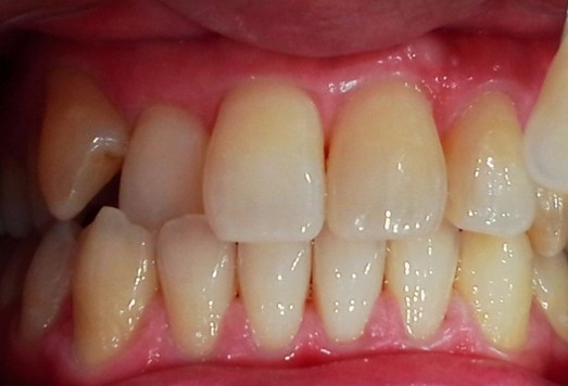
BEFORE

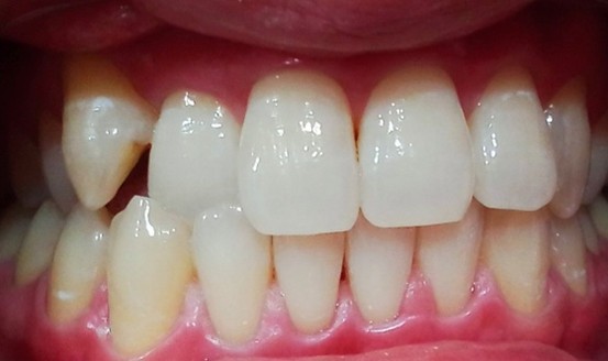
AFTER

- 治療内容
- オフィスホワイトニング
- 費用等
- この症例にかかった金額
- 治療に係る主なリスク・副作用
- 施術後、知覚過敏のような痛みが数日続く場合があります。効果には個人差があります。
よくあるご質問
Q. 本当に歯は白くなりますか?
A. 効果には個人差がありますが、これまで当院でホワイトニングを受けた多くの方が、歯の明るさの変化を実感されています。
Q. 必ず白くなりますか?
A. すべての方に同じ結果が出るわけではありません。歯の状態によっては変化が出にくい場合もあるため、事前にカウンセリングで可能な範囲や限界を正直にお伝えしています。
Q. どのくらい白くなりますか?
A. 芸能人のような真っ白さではなく、清潔感のある自然な明るさを目指すホワイトニングです。
ホワイトニングの注意事項
- 効果には個人差があります
- 詰め物・被せ物は白くなりません
- 一時的にしみる症状が出ることがあります
- 効果は永久的ではなく、少しずつ後戻りすることがあります
- 無カタラーゼ症、妊娠・授乳中の方、小児は行えません
【重要】ホワイトニング後24時間は、コーヒー・カレー・赤ワインなど色の濃い飲食物はお控えください。
まずは相談だけでも大丈夫です
「やるかどうか迷っている」「自分に合うか知りたい」 そんな方も、どうぞお気軽にご相談ください。